Main content

POWERCELL: YOUR INVISIBLE SHIELD AGAINST OZONE, THE NEW BEAUTY ENEMY

How to protect your skin from the exposome?

In an age of accelerating environmental stress, Helena Rubinstein’s Powercell Skinmunity™ Serum represents a scientific breakthrough in skin defense [1]. Designed to counter the complex and compounding effects of most of the exposome challenge, Powercell Skinmunity™ Serum has proven to be effective even against ozone detrimental skin damage —one of the most harmful pollutants currently affecting skin health.


What Makes Powercell So Effective?


Powercell Skinmunity™ Serum uses a blend of Samphire Native Plant Cells with Ectoïn, extracted from an extremophilic plant as well as Bixaseed extract (Bix'Activ™) and Bisabolol to boost the skin’s regenerative capacity and resilience.

Helena Rubinstein has designed a rigorous protocol to test the efficacy of the Samphire Native Plant Cells when facing the new beauty enemy : ozone.

Samphire Native Plant Cells were tested on reconstructed skin (human full-thickness model, systemic application) and demonstrated a significant decrease of -18% of ozone-induced increase of oxidative markers 8-isoprostane [2].

On another ex vivo model [3]—where skin samples were exposed to simulated pollution, including O3, particulate matter, and blue light— Powercell Skinmunity™ Serum significantly reduced oxidation by 37% (4-hydroxy-2-nonénal, also called 4-HNE) and inflammation by 49% (IL1-alpha). The concentration of the inflammatory marker IL-1 alpha was even lower than the unstressed “older” skin control and back to the level of “young” skin ex-vivo model.

-49% inflammation reduction with Powercell Serum (IL-1alpha)

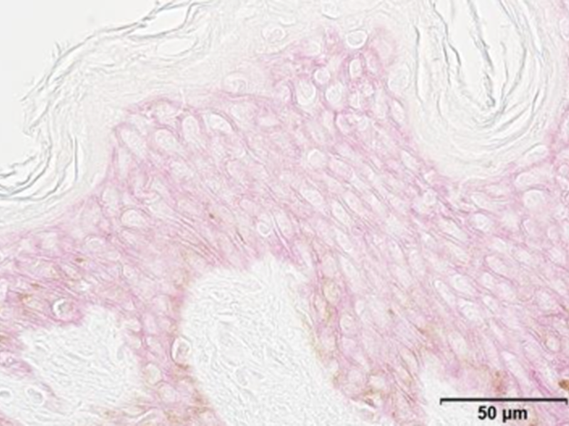
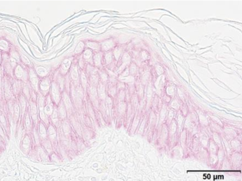
Stress & Ozone

Stress & Ozone


Powercell Serum + Stress & Ozone

Powercell Serum + Stress & Ozone


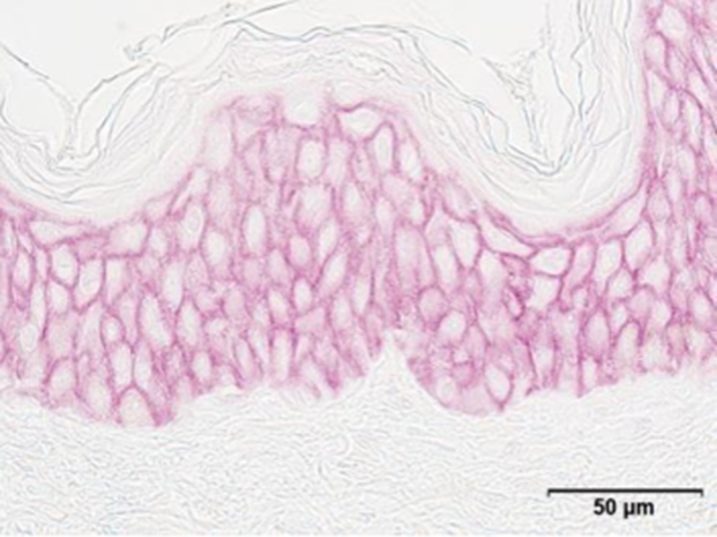
Control (Young skin)

Control
(Young skin)




Clinical test in a city exposed to ozone


Helena Rubinstein conducted a clinical study in Shijiazhuang, China—a city known for its above average air pollution and ozone peaks. In this six-month clinical test, 42 Asian women volunteers applied Powercell Skinmunity™ Serum twice daily compared to a group of 43 Asian women volunteers who applied a neutral cream. [4] The results were scientifically validated using both clinical evaluations and self-assessments and show that most of the following items were significantly better compared to the neutral cream group.

For Powercell Skinmunity™ Serum:

  • From the first application: -8% dryness reduction
  • After 6 months:
    • -71% reduction in imperfections versus 41% for the neutral cream
    • +20% increase in radiance versus 11% for the neutral cream
    • -19% reduction in forehead wrinkle versus -7% for the neutral cream

In addition to that, the Powercell Skinmunity™ Serum has proven to reduce micro-pollution particle deposit by -38% after rinsing (instrumental test) and redness by -26% 7mins after application (clinical test on 43 asian women).

These results show how Powercell Skinmunity™ Serum acts as a multi-defense agent. Six months of application decreased significantly skin imperfections and aging signs.


-71% imperfection reduction with Powercell Serum

First Image

Day 0


Second Image

After 3 Months




Skinmunity Extreme Power: Defense on a Cellular Level


The core philosophy behind Powercell serum is “skinmunity”—empowering the skin’s own defenses to fight back against internal and external aggressors. By enhancing the skin's capacity for regeneration, reducing cellular damage, and repairing the skin barrier, Powercell interrupts the vicious cycle of chronic inflammation and aging triggered by pollution, ozone and today’s hectic lifestyles.

Redness reduction with Powercell Serum

First Image

Day 0


Second Image

After 3 Months




Your Invisible Shield


With ozone increasingly recognized as a dangerous catalyst in skin aging, Powercell Skinmunity™ Serum acts as your invisible shield. It defends, repairs, and revitalizes—restoring youthful skin conditions and protecting against the unseen enemies we encounter daily. More than just skincare, Powercell Skinmunity™ Serum is an everyday essential for modern life.


 

[1] in addition to appropriate sunscreen for outdoor during the day.

[2] In-vitro test on reconstructed skin exposed 2 times for 18 hours to O3, 3 days of systemic application of native Crithmum maritimum cells

[3] Ex-vivo test on skin explants exposed to Pollubox® + UVA + blue light + O3 either treated or not with Powercell Skinmunity™ Serum. Each of these batches was compared to “young” skin explants untreated and non-exposed to stress.

[4] A 6-months clinical study was conducted on 2 groups (Group 1: Powercell Skinmunity™ Serum vs Group 2: neutral cream) of 42 & 43 Asian volunteers, from 25 to 45 years old, in harsh urban pollution including ozone pics during hot conditions in Shijiazhuang

First Image

FIRST CLASS SERVICE


From personalized beauty consultations, biometric skin analysis to recommended bespoke skincare and facial treatments, our highly expert BAs are your best beauty power ally, ready to guide you throughout your HR avant-garde journey.

FIND A STORE
Orientation message
For the best experience, please turn your device